Tartre

Tartre

À LIRE DANS CET ARTICLE

Définition

C'est un dépôt calcifié qui se dépose derrière la dent à la frontière de la gencive.

  • Les minéraux responsables proviennent de la salive.
  • Il concerne surtout les dents du bas.

Ce qui se passe

Le tartre est un amas de sels minéraux, principalement le calcium et le magnésium. Ces minéraux proviennent des glandes salivaires par l'intermédiaire de la salive. Ceci explique que les surfaces dentaires les plus exposées sont celles qui sont situées tout près de l'abouchement des canaux excréteurs des glandes salivaires dans la bouche (face interne des incisives du bas). Le tartre se fixe sur la plaque dentaire d'où l'importance d'une parfaite hygiène bucco-dentaire pour minimiser celle-ci.

Tout le monde  fait du tartre . D'une personne à l'autre, la production est très variable. Elle est favorisée par :

  • Une hypersalivation (production importante de salive).
  • Un brossage des dents insuffisant.
  • Le tabac.

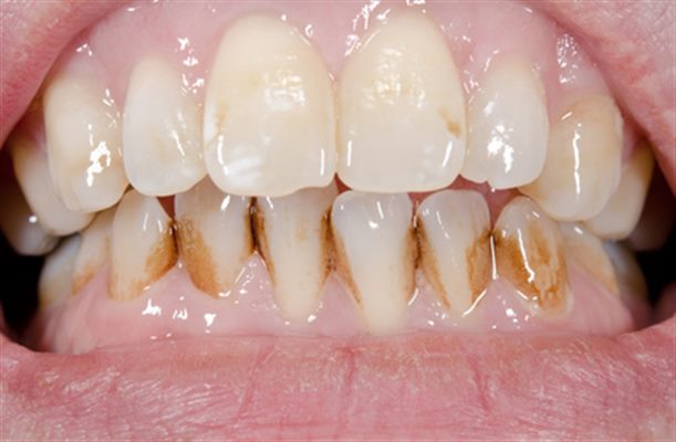
Le tartre prend des aspects et des couleurs différents suivant son lieu de fixation et les facteurs qui accélèrent son dépôt. Ainsi on distingue :

  • Le tartre supra gingival qui se trouve derrière la dent sans empiéter sur la gencive. Il se colore avec le temps en fonction des colorants alimentaires fortement pigmentés (comme le café, le thé, le réglisse) et du tabac.
  • Le tartre sous gingival qui adhère au cément de la racine de la dent. Sa couleur brune provient des produits de dégradation du sang (pigments).

Au cabinet

  • Le détartrage doit être un geste banal et couramment pratiqué (1 fois par an).
  • Il est indispensable car en dehors du préjudice esthétique, le tartre (ainsi que la plaque dentaire) favorise l'apparition de caries et de gingivite .
  • Le brossage biquotidien sera plus que jamais conseillé. À lui seul (au besoin aidé par l'utilisation du fil dentaire), il peut prévenir la formation de la plaque dentaire ainsi qu'un dépôt de tartre anormalement important et irréversible.
Termes associés : dents - gencive - salive - hygiène dentaire -
L'information ci-dessus apporte les éléments essentiels sur ce sujet. Elle n'a pas vocation à être exhaustive et tout comme les conseils, elle ne peut se subsister à une consultation ou un diagnostic médical.
À lire aussi



TÉMOIGNAGES SUR CE THÈME

Soyez le premier à témoigner sur le thème "Tartre"TÉMOIGNEZ

Article créé, modifié ou vérifié par
Médecin généraliste

Dernière mise à jour, le 29/01/2018
vous avez un
problème de santé ?
Sympto Check Analyse vos symptômes et vous oriente comme un médecin
Télécharger l'application sympto check
Vous cherchez un médicament homéopathique?
Iméo Check trouve le médicament homéopathique qui correspond à vos symptômes
Télécharger l'application Iméo Check

Newsletter
Tenez vous au courant des dernières
nouvelles dans le domaine de la santé
Testez-vous
Suivi de grossesse